当前位置:首页 > 新闻资讯 > FPGA之家动态 >

FPGA图像处理--CLAHE算法(四)

时间:2024-07-17      来源:网络搜集 关于我们 0

在之前的三篇推文里面介绍了CLAHE算法的前几个步骤,现在还剩下最后一个步骤线性差值。

FPGA图像处理--CLAHE算法(一)

FPGA图像处理--CLAHE算法(二)

FPGA图像处理--CLAHE算法(三)

我们先来看一下没有经过线性差值的CLAHE算法是什么样子的效果。

可以看到很明显的图片中都是一块一块的,这是因为在每一个块里面都统计了相应的直方图数据,这样就导致不同块里面直方图统计的映射表不一样,所以就出现了一块块的斑点。

解决这个问题的方法就是线性插值。

可以将整幅图像分为以下几个部分:

整个8*8一共64个block,然后对于四个红色的角点不进行线性插值,对于蓝色的四条边进行线性插值,对于中间的白色部分进行双线性插值。

其中红色正方形的边长是block边长的二分之一。

来放大一个局部看一下是怎样进行计算的,比如将左上角放大得到一个3*3的block,以黑色实线来表示每一个block。然后用蓝色虚线将每一个block的二分之一处进行连接,这样将每一个block都分成了4*4的小块。

最左上角的小块不进行线性插值,相应的代码如下,判断是不是在四个角点,如果是角点就直接进行直方图均衡化。

if i <= bh // 2 and j <= bw // 2: he[i][j] = sk_list[0][img[i][j]]elif i <= bh // 2 and j >= w - bw // 2: he[i][j] = sk_list[block - 1][img[i][j]]elif i >= h - bh // 2 and j <= bw // 2: he[i][j] = sk_list[block * block - block][img[i][j]]elif i >= h - bh // 2 and j >= w - bw // 2: he[i][j] = sk_list[block * block - 1][img[i][j]]

第一个位于蓝色区域内的点,他需要进行线性插值才能得到最终的结果。

可以看到这个点位于第一个block中,假定他距离第一个block中线的距离是P,那么第一个block占的权重就是1-P/block_width,在第二个block中占的权重就是P/block_width。假如这个点正好在第一个和第二个block的交界处,那么两个block占的权重都是0.5。所以这个点的计算方法就是在第一个block中进行直方图均衡化得到的结果乘以第一个block的权重,加上在第二个block中进行直方图均衡化得到的结果乘以第二个block的权重。

比如下面的参考代码,先计算这个点位于哪一个block,然后计算相应的权重,最后分别进行直方图均衡化后把结果相加。

num_j = (j - bw // 2) // bw= (j - num_j * bw - bw // 2) / bwq = 1 - phe[i][j] = sk_list[num_j][img[i][j]] * q + sk_list[num_j + 1][img[i][j]] * p

对于最后一种情况,也就是位于中间白色区域的点,他需要进行双线性插值。可以看到整个点位于第四个block,所以他需要在第一个,第二个,第四个和第五个block上分别计算直方图均衡化的结果,和相应的权重,参考代码如下:

num_i = (i - bh // 2) // bhnum_j = (j - bw // 2) // bwm = (i - num_i * bh - bh // 2) / bhv = 1 - mp = (j - num_j * bw - bw // 2) / bwq = 1 - phe[i][j] = sk_list[num_i * block + num_j][img[i][j]] * q * v + \ sk_list[(num_i * block) + block + num_j][ img[i][j]] * q * m + sk_list[num_i * block + num_j + 1][img[i][j]] * p * v + \ sk_list[(num_i * block) + block + num_j + 1][img[i][j]] * p * m

 对于verilog来说计算方法也是一样的,通过不同的点来分别计算结果。

case (switch_ff[23]) 4d0, 4d1, 4d2, 4d3: begin cand_tx_pipe_1[0] <= cand_rd_data_1_ff[21]; cand_tx_pipe_2[0] <= 28d0; cand_tx_pipe_3[0] <= 28d0; cand_tx_pipe_4[0] <= 28d0; end 4d4, 4d5: begin cand_tx_pipe_1[0] <= cand_rd_data_1_ff[21] * q_ff[2]; cand_tx_pipe_2[0] <= cand_rd_data_2_ff[21] * p_ff[2]; cand_tx_pipe_3[0] <= 28d0; cand_tx_pipe_4[0] <= 28d0; end 4d6, 4d7: begin cand_tx_pipe_1[0] <= cand_rd_data_1_ff[21] * v_ff[2]; cand_tx_pipe_2[0] <= cand_rd_data_2_ff[21] * m_ff[2]; cand_tx_pipe_3[0] <= 28d0; cand_tx_pipe_4[0] <= 28d0; end 4d8: begin cand_tx_pipe_1[0] <= cand_rd_data_1_ff[21] * q_ff[2]; cand_tx_pipe_2[0] <= cand_rd_data_2_ff[21] * q_ff[2]; cand_tx_pipe_3[0] <= cand_rd_data_3_ff[21] * p_ff[2]; cand_tx_pipe_4[0] <= cand_rd_data_4_ff[21] * p_ff[2]; end default: begin cand_tx_pipe_1[0] <= 28d0; cand_tx_pipe_2[0] <= 28d0; cand_tx_pipe_3[0] <= 28d0; cand_tx_pipe_4[0] <= 28d0; endendcase

这里使用了DSP自动推断的方法,这些乘法都会被自动推断为DSP。

在计算之前对数据进行了打拍的操作,一部分寄存器会被DSP单元所吸收,所以不用担心这个乘法的时序问题。

always @(posedge clk ) begin cand_rd_data_1_ff[0] <= cand_rd_data_1; cand_rd_data_2_ff[0] <= cand_rd_data_2; cand_rd_data_3_ff[0] <= cand_rd_data_3; cand_rd_data_4_ff[0] <= cand_rd_data_4;endgenvar b;generate for (b = 1; b <= 22; b = b + 1) begin always @(posedge clk ) begin cand_rd_data_1_ff[b] <= cand_rd_data_1_ff[b - 1]; cand_rd_data_2_ff[b] <= cand_rd_data_2_ff[b - 1]; cand_rd_data_3_ff[b] <= cand_rd_data_3_ff[b - 1]; cand_rd_data_4_ff[b] <= cand_rd_data_4_ff[b - 1]; end endendgenerate

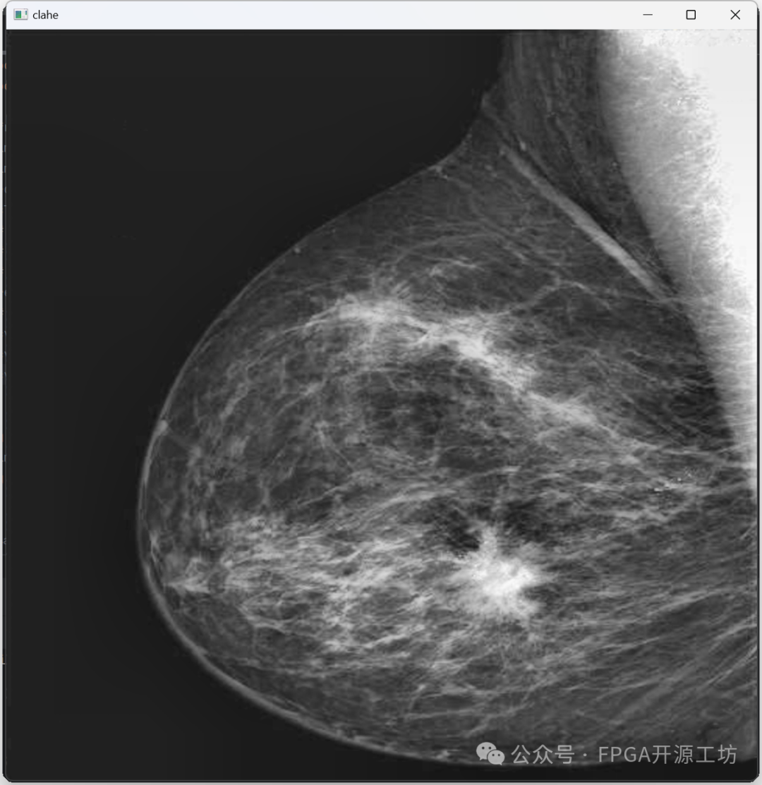
来看一下最后结果,没有一块一块的斑点了。

CLAHE算法就是这些,一共分为下面几步:

对整幅图像进行分块,然后在每一块上面分别进行直方图均衡化操作

在进行直方图均衡化的时候进行CLIP操作

进行线性插值


注明:本内容来源网络,不用于商业使用,禁止转载,如有侵权,请来信到邮箱:429562386ⓐqq.com 或联系本站客服处理,感谢配合!

用户登陆

    未注册用户登录后会自动为您创建账号

提交留言